急进性肾小球肾炎
急进性肾小球肾炎(英語:)是一种以急进性肾炎综合征为临床特征,以新月体性肾小球肾炎为病理特征的一类疾病。
| 急进性肾小球肾炎 | |
|---|---|
![]() | |
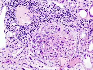
| MPO-ANCA阳性的急进性肾小球肾炎患者身上的新月体性肾小球肾炎组织病理学影像。切片经过苏木精和曙红染色。 | |
| 类型 | 腎小球腎炎[*] |
| 分类和外部资源 | |
| 醫學專科 | 腎臟科 |
| ICD-10 | N00 -N08 with .7 suffix |
| DiseasesDB | 3165 |
| eMedicine | med/881 med/890 |
| Orphanet | 280569 |
病因
- 原发性
- 其它病理类型的肾小球疾病转化为新月体性肾小球肾炎
- 继发于其它疾病
病理
为新月体性肾小球肾炎。
- 大体观:双侧肾脏肿大、苍白,皮质表面可有点状出血,切面见皮质增厚。
- 镜下观:超过50%的肾小球球囊内有新月体形成。
- 免疫病理学检查可以细分为:
- Ⅰ型:肾小球基底膜有IgG和C3线性沉积。
- Ⅱ型:肾小球基底膜和系膜区颗粒状免疫复合物沉积。
- Ⅲ型:免疫反应不明显型。
临床表现与辅助检查
诊断
凡有急性肾炎综合征,伴随肾功能急剧恶化的,即使未达到肾衰竭标准,均应疑似本病,并及时进行肾活检。凡是病理证实为新月体性肾小球肾炎的,可明确诊断,并应完善病因学检查,以协助继发性急进性肾小球肾炎诊断。
鉴别诊断
- 引起急进性肾炎综合征的其它肾小球疾病:其它病理类型的肾小球疾病,倘若病情较重,即使没有新月体形成,也可能出现急进性肾炎综合征。此时临床鉴别较困难,需行肾活检。
- 引起少尿型急性肾衰竭的非肾小球疾病:
- 急性肾小管坏死:常有明确诱因,如肾缺血、肾毒性物质的使用、肾小管堵塞;临床表现以肾小管损害为主,如低渗透压尿,一般无急性肾炎综合征表现。
- 急性过敏性间质性肾炎:明确的用药史,部分患者可有药物过敏的全身反应,血和尿常规提示嗜酸性粒细胞增多。必要时需行肾活检确诊。
- 梗阻性肾病:突然出现无尿,影像学证实尿路梗阻。
治疗
- 及时完善病因学检查,如果明确病因,针对病因积极治疗。
- 强化治疗
- 血浆置换:可异常致病抗体、免疫复合物和炎症因子,适用于各型急进性肾小球肾炎,尤其是Ⅰ型。对Goodpasture综合征和原发性小血管炎所继发的Ⅲ型急进性肾小球肾炎,在出现威胁生命的肺出血时,亦有确切的快速疗效,是为首选治疗。血浆置换量宜大(2~4L/次)、宜频(Qd~Qod),直到异常抗体(如抗肾小球基底膜抗体、ANCA)或免疫复合物转阴、病情好转(通常需要置换6~10次)。需配合糖皮质激素及环磷酰胺治疗,以抑制有害抗体再生。
- 糖皮质激素冲击:对Ⅱ、Ⅲ型效果较好,对Ⅰ型效果较差。甲强龙0.5~1.0g/次,Qd~Qod,3次为一疗程,必要时可间隔3~5天后开始下一个疗程,一般总共不超过3个疗程。需配合糖皮质激素及环磷酰胺口服。用每月一次的环磷酰胺冲击治疗代替常规剂量每日口服,有助于减少环磷酰胺的副作用,但有待进一步研究评估其风险及收益。
- 肾替代治疗
- 透析治疗:肾衰竭已达到透析指征者。
- 肾移植:应在病情静止半年以后才予考虑。肾移植后,即使在抗排斥药治疗期间,仍有部分患者复发,复发的风险随着时间的推移而减少。
预后
总体而言,预后差,死亡率高。
影响近期预后的因素
- 病理类型:Ⅲ预后较好,Ⅱ居中,Ⅰ型较差。纤维性新月体形成,肾小球硬化或间质纤维化均为不可逆病变。
- 强化治疗的时机:越早越好,需赶在不可逆病变形成之前进行。
- 年龄:老年人预后较差。
长期预后
- 即使短期内可以缓解,甚至肾功能损害完全逆转者,也有相当比例出现慢性肾疾病,并进展为慢性肾衰竭,故应长期随访,并保护残存肾功能。
- 少数患者有复发可能,必要时可重复肾活检,复发的患者中,部分对强化治疗仍敏感。
- 仅少数患者可获得长期缓解。
参考文献
- 陆再英; 钟南山. . 北京: 人民卫生出版社. 2008. ISBN 978-7-117-09652-2.
- 陈灏珠; 林果为. . 北京: 人民卫生出版社. 2009. ISBN 978-7-117-11864-4.
- James I. McMillan. . Merck & Co., Inc. [2011-11-20] (英语).
- 李甘地; 来茂德. . 北京: 人民卫生出版社. 2001. ISBN 7-117-04073-4.
延伸閱讀
- Greenhall, George H. B.; Salama, Alan D. . Clinical Kidney Journal. 2015-02-19, 8: sfv008. ISSN 2048-8505. PMC 4370308. PMID 25815169. doi:10.1093/ckj/sfv008 (英语).
This article is issued from Wikipedia. The text is licensed under Creative Commons - Attribution - Sharealike. Additional terms may apply for the media files.
.jpg.webp)