胚胎性癌
| 胚胎性癌 | |
|---|---|
![]() | |
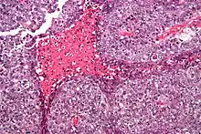
| 显微镜下的胚胎性癌展现出它的一些典型特征:突出的核仁体、标记的核异型、坏疽和核重叠 | |
| 类型 | embryonal cancer[*], extragonadal germ cell cancer[*], extragonadal non-dysgerminomatous germ cell tumor[*], 癌 |
| 分类和外部资源 | |
| 醫學專科 | 肿瘤学 |
| ICD-O | M9070/3-9072 |
| MeSH | D018236 |
| Orphanet | 180226 |
卵巢胚胎性癌
位于卵巢的胚胎性癌相当少见,佔全部卵巢生殖细胞瘤的3%。确诊的平均年龄为15周岁。其特征和症状各有不同,可能会包括性早熟和不正常的子宫出血[1]。
患者血清中的人体绒毛膜促性腺激素和甲胎蛋白指数可能升高[2],但这并不排除其他肿瘤(比如卵黄囊瘤),因为很多肿瘤也产生此类血清标记物[3]。在手术中,超过40%案例中的肿瘤类型大过卵巢。这些肿瘤通常很大、位于单侧,中径大约17厘米。有时会需要进行化疗以提高长期存活率[1][4]。在肉眼检查和组织学分析中,位于卵巢的胚胎性癌情况类似于同类的睾丸胚胎性癌。
睾丸胚胎性癌
单纯的睾丸胚胎性癌也很少见,占全部睾丸生殖细胞瘤的10%。但是90%的此类肿瘤均伴有混合非精原生殖细胞瘤。平均的诊断年龄为31周岁,并常见睾丸肿块伴有疼痛。50%至三分之二的患者在检测中均为恶性肿瘤[1]。
通过超声波检查,一些症状包括有明显的睾丸重量增强或单侧睾丸增长趋势[5]。肿瘤的特征和症状和恶性转移有关联,包括有后背疼痛、呼吸困难、咳嗽、咯血、吐血和神经异常等[1]。男性胚胎性癌的血清甲胎蛋白指数通常都在正常指数[6]。过高的AFP指数暗示着存在混合生殖细胞瘤的可能,比如卵黄囊瘤。
病理特征

高度显微镜下的胚胎性癌
肉眼检查通常能够发现2-3厘米浅灰色的肿瘤,伴有出血和坏疽[7]。
显微镜下的特征有细胞边界不清、有丝分裂、多样性体系结构(管状乳头状、腺状、实体、胚胎性组织)、核重叠及坏死。去区分它和其他肿瘤(比如精原细胞瘤、畸形恶瘤、卵黄囊瘤和支持-间质细胞瘤)的一类重要特质是,胚胎性癌细胞既有向胚外也有向胚内分化的潜能;比如在睾丸中,这类癌细胞试图形成原始的小管组织。
外部链接
- Embryonal Carcinoma-Testis. The Doctor's Doctor. 19 July 2004. Thedoctorsdoctor.com. 26 October 2005
- Embryonal Carcinoma Definition. MedicineNet.com. 10 March 2004. MedicineNet.com. 26 October 2005
参考
- Mills, S (ed.) 2009.Sternberg's Diagnostic Pathology. 5th Edition. ISBN 978-0-7817-7942-5
- 阳志军, 杨光, 蒋燕明, 冉宇靓, 杨治华, 张玮, ... & 李力. (2007). 卵巢上皮性癌相关抗原的筛选和血清学检测. 中华妇产科杂志, 42(12), 834-839.
- Robbins Review of Pathology By Edward C. Klatt and Vinay Kumar, 300 pp, with illus, Philadelphia, Pa, WB Saunders Co, 2000.
- . 现代肿瘤医学. 2005, 3 (13) [2014-01-08]. 已忽略未知参数
|month=(建议使用|date=) (帮助) - 范丽, & 朱贤胜. (2008). 超声诊断睾丸胚胎性癌 1 例. 临床超声医学杂志, 10(4), 262-262.
- 魏然, 张端妮, & 曲文洲. (2007). 睾丸胚胎性癌 1 例报告. 中国中西医结合影像学杂志, 2(5), 74-74.
- Abbas, Fausto, Mitchell. . Elsevier. 2010: 696–697. ISBN 978-81-312-1036-9.
This article is issued from Wikipedia. The text is licensed under Creative Commons - Attribution - Sharealike. Additional terms may apply for the media files.
