静脉成像
静脉成像(英語:,也作、)是将一种特殊的染料注入靜脈后,利用X射线拍摄静脉的血管照影方法。染料必须要通过一根导管不断地注入人体。一般来讲,导管会经由腹股沟打入,随后顺着血管系统移动至合适的位置。
| 静脉成像 | |
|---|---|
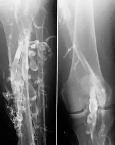
![]() 深静脉血栓病人的静脉成像。 | |
| ICD-9-CM | 88.6 |
| MeSH | D010690 |
| OPS-301 | 3-61 |
| MedlinePlus | 007283 |
Category:Projectional radiography
This article is issued from Wikipedia. The text is licensed under Creative Commons - Attribution - Sharealike. Additional terms may apply for the media files.
