X射线计算机断层成像
计算机断层成像(,简称),是一種影像診斷學的检查。這一技術曾被稱為()。它使用从不同角度进行的许多X射线测量值的计算机处理组合来生成特定扫描区域的横截面(断层)图像(虚拟“切片”) 物体,使用户无需切割即可看到物体内部。1979年诺贝尔生理学或医学奖因“计算机辅助层析成像技术的发展”而共同授予南非裔美国物理学家阿蘭·科馬克(Allan M. Cormack)和英国电气工程师高弗雷·豪斯费尔德(Godfrey N. Hounsfield)[1]。
| 计算机断层成像 CT scan | |
|---|---|
![]() 現代 CT 掃描器 | |
| ICD-10-PCS | B?2 |
| ICD-9-CM | 88.38 |
| MeSH | D014057 |
| OPS-301 | 3–20...3–26 |
| MedlinePlus | 003330 |
X射线计算机断层成像(X-Ray Computed Tomography,简称)是一種利用數位幾何處理後重建的三維放射線醫學影像。該技術主要通過單一軸面的X射线旋轉照射人体,由于不同的組織對X射线的吸收能力(或稱阻射率)不同,可以用電腦的三維技術重建出斷層面影像。經由窗口技术處理,可以得到相應组織的斷層影像。將斷層影像層層堆疊,即可形成立體影像。
診斷應用
自從20世纪70年代被發明後,X射线计算机断层成像在醫學影像上已經變成一個重要的工具,雖然價格昂貴,它至今依然是診斷多種疾病的黃金準則。X射线计算机断层成像技术的优点之一是它可以提供很高的空间分辨率(0.5 毫米)。它的一个弱点是软组织对比度较差。当诊断对软组织对比度要求较高时,核磁共振影像技术要优于X射线计算机断层成像技术。
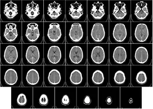
頭部

主要用來診斷腦部血管病變以及顱內出血,檢查不一定要用到顯影劑。在病人有急性中風的情形下,它雖然沒辦法排除血管阻塞的可能性,但是可以排除出血的可能性。如此一來,抗凝血劑就可以大膽地應用。在診斷腫瘤的應用上,電腦斷層配合靜脈顯影的檢查並不常用,而且效果也比核磁共振影像(MRI)差。它也可以用來診斷顱內壓是否有增加,例如要做腰椎穿刺或是評估腦室腹腔分流術時。
X射线计算机断层成像在診斷有外傷的顱骨及顏面骨的骨折也有很大的用處。在頭頸口的部位,對於頭骨和顏面骨或是牙齒的畸形,它有術前評估的作用;下顎、副鼻竇、鼻腔,眼框等部位所生囊腫或是腫瘤的評估;慢性鼻竇炎成因的診斷;還有植牙重建的評估。
肺部
在肺部組織的診斷上,X射线计算机断层成像對於急性或是慢性的變化都有很高的診斷價值,在觀察一些人體內空氣的變化,例如肺炎或是腫瘤,一般不需顯影劑就有很好的效果。而一些間質組織的變化(肺實質,肺纖維等等),可以用薄切面的高解析設定來重建;而要評估縱隔腔和肺門部分的淋巴腺腫大,則需要靜脈顯影。
胸腔斷層血管攝影(CTPA)是一個需要用精確快速的時間來作對比劑注射再加上高速的螺旋式描掃器才能完成的檢查,近來也用在作肺栓塞和動脈剝離的評估。當胸腔x光檢查出現異常或是懷疑異常等,只要是非急性的,電腦斷層都是首推的進一步檢查。
血管造影
電腦斷層血管攝影術(CTA)是造影劑CT,可顯示整個身體的動脈和靜脈。 範圍從為腦服務的動脈到向肺,腎,手臂和腿部帶血的動脈。 此類檢查的一個示例是用於診斷肺栓塞(PE)的CT肺血管造影(CTPA)。 它使用計算機斷層掃描和基於碘的造影劑來獲取肺動脈的圖像。
心臟
隨著较先进的X射线计算机断层成像仪旋轉時間的减少,再加上多斷層(高達128切)切面的技術,要同時達到高速度和高解析度不再是夢想。目前已經可以清楚地看見冠狀動脈的影像。在掃描的同時,電腦就可以將一連串的數據重建,如此一來,每單一個心臟斷層影像的數據都可以在x光管迴轉完成前重建完成。但未來是否能取代侵入性檢查「冠狀動脈導入檢查」還是未知數。
心臟的多斷層切面檢查(Multi-slice Computed tomography,簡稱MSCT)有相當性的潛在危險,因為它的劑量相當於500張的胸腔x光,對於乳癌的潛在誘發性目前還有待商榷。診斷為陽性的正確率大約82%,診斷為陰性的正確率大約93%;敏感度大約81%,特異性為94%。
雙射源X射线计算机断层成像機有相當高的時間解析度,可以減少高速心跳造成的移動假影,閉氣的時間也不用長,對於不方便閉氣的病人或是不適合打降低心率藥的病人是很有幫助的。
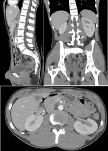
腹部和骨盆
對於腹部的疾病,X射线计算机断层成像的診斷價值極高,常用來定位腫瘤期數也用來做後續的追蹤,對急性腹痛的檢查也很有用。泌尿結石,闌尾炎,胰臟炎,憩室,腹部動脈瘤還有腸阻塞等都是可以由電腦斷層做快速診斷的疾病,它也是第一線用來診斷內部臟器外傷的利器。
口服或是直腸對比劑可視需要使用,稀釋的硫酸鋇(2% w/v)是最常用的,一般用來作大腸透視檢查的鋇劑濃度太高,在斷層影像上反而是假影,如果鋇劑有禁忌上的考量的話(例如懷疑病人是腸受傷),碘對比劑也是選擇之一,其他種類的就看目標是要對哪一個器官顯影,例如直腸的空氣對比劑(空氣或二氧化碳)用在大腸檢查,或是口服純水用在胃部檢查。
電腦斷層在診斷骨盆的應用上有限制,特別是女性的骨盆,超音波是一個替代方案。除此之外,它也可以部分應用在腹部掃描(例如看腫瘤),在評估骨折上也有用處,它也可以用在研究骨質疏鬆症,和骨質密度偵量儀一樣,此兩樣都能偵測骨礦物質的密度(BMD),也就是骨強度的指標,然而電腦斷層的結果不一定和骨密儀一樣(BMD測量黃金準則),不但貴,病人接受的劑量又高,所以不常使用。
優點和危險性
優於X光影像的部分
首先,X射线计算机断层成像为医生提供器官的完整3D訊息,而X光影像只能提供多断面的重叠投影;第二,由於電腦斷層的高解析度,不同組織阻射過所得的放射強度即使是小於1%的差異也可以區分出來;第三,由于断层成像技术提供三维图像,依診斷需要不同,可以看到軸切面,冠狀面,矢切面的影像,稱為多平面數位重建(Multi-planar reformatted imaging)。除此之外,任意切面的图像均可通过插值技术产生。这给诊斷和科研带来了极大的便利。
輻射劑量
X射线计算机断层成像被視為中度至高度輻射的診斷技術,雖然技術的進步已經增加了輻射的效率,但是同時為了增加影像品質或為了更複雜的技術,還是有增加劑量的考量,進化過的解析度使電腦斷層可以進行新的研究,可以有更多的優點:例如和傳統血管攝影比,電腦斷層血管攝影可以避免插入靜脈管和靜脈導管;電腦斷層大腸攝影也和大腸鋇劑攝影一樣用來診斷腫瘤,但是劑量更低。其方便性以及可適用的情形不斷增加,使它日漸普及,最近在英国的綜合評估中,電腦斷層佔了所有放射性檢查的7%,但是在2000/2001年間,它佔了總合醫療放射劑量的47%(Hart & Wall, European Journal of Radiology 2004;50:285-291),過度地使用電腦斷層檢查,不管其他地方怎麼滅,還是會導致總體醫療劑量的上升,在一些特別研究放射劑量的論文還有考量很多因子:掃描的體積,PATIENT BUILD,掃描的數量和型式,還有需要的解析度和影像品質。
對比劑的負面反應
由於X射线计算机断层成像相當依賴靜脈注射的對比劑來顯影,所以有潛在的危險,危險雖低,卻無法完全避免,這可能會使某些病人的腎臟受傷,有腎功能衰竭或糖尿病等病史的病人(另外還有REDUCED INTRAVASCULAR VOLUME)危險性可能更高。
掃描劑量
| 檢查 | 對全身的典型有效劑量 (毫西弗) |
對器官的典型吸收劑量 (毫戈雷) |
|---|---|---|
| 全年背景輻射值 | 2.4[7] | 2.4[7] |
| 胸部X光 | 0.02[8] | 0.01–0.15[9] |
| 頭部CT | 1–2[10] | 56[11] |
| 有隔離的乳腺X光檢查 | 0.4[12] | 3[13][9] |
| 腹部CT | 8[8] | 14[11] |
| 胸部CT | 5–7[10] | 13[11] |
| CT結腸鏡檢查 | 6–11[10] | |
| 胸,腹和骨盆CT | 9.9[11] | 12[11] |
| 心血管CT | 9–12[10] | 40–100[9] |
| 鋇劑灌腸攝影 | 15[13] | 15[9] |
| 新生兒腹部CT | 20[13] | 20[9] |
該表報告了平均輻射照射量,但是,在相似的掃描類型之間,輻射劑量可能有很大差異,其中最高劑量可能比最低劑量高22倍[10]。 典型的平片X射線輻射劑量為0.01至0.15 mGy,而典型的CT對特定器官的輻射劑量可為10–20 mGy,對於某些專門的CT掃描可高達80 mGy[9]。
為了進行比較,世界上自然產生的背景輻射的平均劑量率是每年2.4 mSv,在實際應用中等於每年2.4 mGy[7]。 儘管存在一些差異,但大多數人(99%)每年接收的背景輻射不到7 mSv[14]。截至2007年,醫學成像占美國的射線輻射暴露的一半,其中X射线计算机断层成像掃描佔這一數字的三分之二[10]。 在英國,它佔輻射暴露的15%[12]。 截至2007年,全球的醫療来源的平均輻射劑量為每人是≈0.6 mSv[10]。 美國核工業的劑量被限制為每年50 mSv,和每5年100 mSv[10]。
鉛是放射線工作人員用來屏蔽散射X射線的主要材料。
輻射劑量單位
以戈瑞(Gary)或毫戈瑞(mGy)單位報告的輻射劑量與預期被輻射的身體部位吸收的能量成比例,並且與X射線輻射對細胞化學鍵的物理作用(例如DNA雙鏈斷裂)與該能量成比例[15]。
西弗(Sievert)單位用於有效劑量報告中。
影像處理
X光斷層面的數據是由X光射源繞物體一圈得來,感應器是放置於射源的對角位置,隨著物體慢慢地被推入內側端,數據也不斷地處理,經由一系列的數字運算,也就是所謂的斷層面重建來得到影像。
窗宽
所謂的窗宽(windowing)就是指用亨氏單位(Hounsfield Unit,簡稱HU)所得的數據來計算出影像的過程,不同的的放射強度(Raiodensity)對應到256種不同程度的灰階值,這些不同的灰階值可以依CT值的不同範圍來重新定義衰減值,假設CT範圍的中心值不變,定義的範圍一變窄後,稱為窄窗位(Narrow Window),比較細部的小變化就可以分辨出來了,在影像處理的觀念上,稱為對比壓縮。例如要在腹內找出肝腫瘤的細微變化,就要用肝窗位,假設70HU是肝脏的平均值(稱為肝窗位),就可以在更窄的窗寬內重新定義範圍,窗位(Window)定為70HU,85HU為上,85HU為下,如此一來範圍就是-15HU到+155HU,低於-15HU的指就顯示全黑,高於+155HU的指就顯示為全白,同理,骨的窗位就要用寬窗位(Wide Window),主要是考慮到含有脂肪的髓腔內的髓質還有外層緻密骨,當然HU的中心值就大約要用百位的數字了。
CT 和 MRI 的差异
CT 利用X光辐射来进行扫描诊断,MRI不使用辐射进行扫描。使用磁场进行扫描。所以MRI扫描是没有辐射的。CT扫描比较没有这样多噪音,MRI扫描会提供耳机或者耳塞。[17]
三維重建
三維重建指用数学的方法从断层成像仪测量到的信号(X射线通过人体后的衰减)恢复(重建)出器官的三维影像。最简单的,也是最早的,重建方法是反投影法(backprojection)。反投影法虽然直观上很容易理解,但它在数学上是不正确的。目前常用的重建方法主要有两种:滤波反投影法(filtered backprojection)和卷积反投影法(convolution backprojection)。
图像显示
由於目前的X射线计算机断层成像都是等方性(x,y,z軸的解析度都一樣)或是接近等方性的解析度,顯示的方式不一定只限於橫切面,所以,藉著軟體的幫忙,只要把所有的小體素堆疊起來,就可以用不同的視點來看影像。
多層面重建MPR()
這是重建最簡單的方式,是把所有的橫切面數據堆疊起來,軟體可以用不同的平面來切割物體(大部分是垂直面),或是特別的一些影像例如最大強度投射成像MIP(Maximum-Intensity Projection)或是最低強度投射成像mIP(Mininum-Intensity Projection)。
多層面重建最常用來檢查脊椎,因為軸切面的影像只限於有時才能顯出椎體,也無法完全秀出椎間盤,經由重組影像,可以更容易觀察出脊椎的位置以及其和其他器官的關係。
現代的軟體可以重建斜位的影像,所以經由自由的選擇平面,可以看到想看的解剖構造,比如支氣管不是垂直的,可以藉由這個技術達到想要的目的。
在血管的影像上,彎曲的平面也有辦法重建。這使得彎曲的血管可以被「拉直」,如此整條血管可以用一張影像或是少數影像就可以完全顯現,一旦血管被拉直後,量化的長度和寬度就測量出來,對於手術和侵入性治療的幫忙不小。
MIP重建加強了高射束的區域,用在血管攝影很有用,mIP重建趨向於加強空氣的顯示,用來評估肺部結構很有用。
表面呈像(surface rendering)
放射強度(Radiodensity)的閾值是可以調整的(例如對應於骨頭的值),當閾值一定,便可使用「邊緣偵察(edge detection)」影像處理法,如此一來,一個三維的物體就可以呈像了,不同的物體可以用不同的閾值呈像,使用不同的顏色來代表不同的解剖構造,例如骨,肌肉和軟骨,然而,在這個基礎下,再深一層的構造可能就無法顯像了。
體素呈像(volume rendering)
表面呈像只限於在一定的閾值下,表現物體的表面像,也止於呈現接近想像的表面,而在體素呈像中,利用透明度和顏色可以在單一影像中的特色,就可以呈現更多的東西,例如:骨盆就可以用半透明的方式顯現,那麼即使是斜位角,小部分其他的解剖呈像並不會擋住其他重要的部分。
影像分割(Segmentation)
有一些部位雖然結構不同,但是有相似的阻射性,只是單純地改變體素呈像的參數可能不是這麼簡單就可以區分它們,解決的方式稱為影像分割(segmentaion),就是用手動或是自動的方式去除不想要的部分。
歷史
第一個商業化的X射线计算机断层成像系統是由高弗雷·豪斯费尔德(Godfrey Newbold Hounsfiled)發明的,地點在英國Hayes的THORN EMI Central Research Laboratories,豪斯费尔德在1967年開始了他的想法,於1972正式發表,聲稱電腦斷層是披頭四樂團最大的遺產,龐大的利益使得EMI投資了研究計劃。另一頭,Tufts大學的阿蘭·麥克萊德·科馬克(Allen Mcleod Cormack)獨立研發了類似的處理程序,地點是开普敦大学/Groote Schuur Hospital,他們於1979年一起獲得諾貝爾獎。
1971所產的原型是行經180度角取160個平行讀數,每個是一度,每次掃描大約費時五分鐘,整個影像要產生要花2.5小時並用大型電腦來進行運算。
第一個生產的X射线计算机断层成像掃描器稱為EMI描掃器,只能用來做頭部的掃描,但是要花四分鐘取數據,七分鐘重組完成一個影像,另外它還要用一個裝滿水的perspex容器,型為頭套狀,可以包覆整個頭,主要是為了減少頭部的對比阻射強度相差太大(頭骨和頭骨外的差異),當時的解析度不高,只有80*80的畫質,第一個EMI掃描器是安裝在英國的wimbledon的atkinson morley's hospital,第一次進行病人頭部檢查的時間是1972年。
在美國,此機器的售價是390000,第一個是安裝在lahey clinic,再來是massachusetts general hospital,還有1973在george washington大學。
第一個任何部位都能檢查且不用水頭套的電腦斷層儀是在goergetown university由robert s.ladley. dds設計。
第一代
用如筆頭般細的射束打向一個或兩偵檢器,影像是用translate rotate的方法,將射源和偵檢器放置於對側的位置,兩者相對位置不變,再加以旋轉。在EMI掃描器時代,一對影像須要旋轉180度,耗時四分鐘,使用三個偵檢器(其中一個是射源位置的參考),每個偵檢器都是由碘化鈉閃礫器和光電倍增管組成,部分的病人很不能適應這些早期的機器,因為機器的振動和聲音都太大了。
第二代
這項設計增加了偵檢器的數目,並且改變了射束的形狀,把原本的筆頭型改為扇型,旋轉方式仍為translate rotate,但是掃描時間有明顯的減少,旋轉量也由每次一度增為每次三十度。
第三代
第三代X射线计算机断层成像在獲得影像的時間上有長足的進步,扇形的射束配上一列和射源相對的偵檢器,省略了費時的translation stage,最初讓掃描時間減少至大約一張十秒鐘,這個進行讓CT的實用性大大增加,時間短到可以做肺部和腹部的掃描,之前的幾代只限於用在頭部和四肢,到了第三、四代,病人也明顯覺得噪音和振動都少了不少,舒適多了。
第四代
它的設計方法幾乎和第三代是同時發明的,表現度也差不多,不用一列的探测器,取而代之的是360度整圈的探测器,用扇型射束旋轉打在固定而非旋轉的探测器上。
bulky是一項昂貴且脆弱的光電倍增管,所以漸漸地被較好的探测器取代,氙游離腔探测器列曾經用在第三代機器中,也增加了較多的解析度和敏感度,但最終這兩項技術都被固態探测器取代:一個矩形、固態的發光二極體,並鍍上螢光的稀土元素磷,它更小,更敏感,更穩定,也更適合第三、四代機器的設計。
早期的四代機器有600個光電倍增管,每個直徑1/2吋,可以套在探测環內,以三個發光二極體為單位可以替代一個光電倍增管,這項改變同時增加了取像速度和影像品質,但是掃描的速度仍然不能改善,因為x光管的控制還是用纜線啟動,限制了旋轉的速度。
一開始,第四代機器有一個重大的進步,就是每轉一圈,探测器就會自動校正一次;而三代的幾何方式固定,對於沒有校正的情形很敏感,也就是有環形伪影產生的可能,另外,四代由於探测器不會移動和振動,校正的執行也較容易。
所有現代的醫療用電腦斷層都是以第三代的設計為藍本,現代的固態探测器相當地穩定,可以不須要每掃一個影像都校正一次,第四代由於探测器經濟效益的問題,使得它比第三代貴多了,甚至對假影的敏感度也高,因為沒有固定和射源相對的探测器,要去除散射幾乎是不可能的事。
第五代
一般指的是所謂的攝影CT(cine-CT);Cine-CT與第四代CT相似,但X光源被置於偵辦器的外環;而且為了加快掃瞄的速度,採用多管X光源,依序以不同位置之X光對剖面曝光,以取代旋轉功能。系統掃瞄速度因而大大提升,足以掃瞄心跳等動態的剖面圖。而真正所謂第五代CT,乃是以大角度陽極X光管,環繞掃瞄剖面與偵測器;利用電子方式控制撞擊陽極的電子束,使其發出不同角度的X光束,以達到如同多管X光源的效果。由於電子掃瞄速度極快,每一剖面的掃瞄時間可降至33ms-100ms左右。適用於心導管,做心臟、血管攝影,主要缺點劑量高,價格昂貴。
功能再進化
和取象時間有關要克服的另一問題是X光管。要提供一個長時間和高強度的曝露,需要將非常穩定的輸出加到X光管和發電器中。高速迴轉的陽極也要跟上處像處理的速度,這就需要固定的150kV的SMPS才能趨動它們。目前的動力強度可到100kW。
環刷迴轉()技術取代了原本纜線的設計,使得X光管和偵檢器能連續動作,再加上連續地推移病人進入掃描器的設計,就是所謂的螺旋式電腦斷層。
多层螺旋X射线计算机断层成像(Multi-Detector-Row Computed Tomography,簡稱MDCT)系統更加快了掃描的速度,它可以同時獲取數個影像。目前機器的列數可以達到128列,幾秒內就有可能获得完整的胸腔影像。MDCT也使用等方解析度,可用任意角度重建需要的影像,与核磁共振影像的能力一樣,很短時間就可以掃描很大體積的影像是MDCT最大的特色;更重要的是空間解析度也高了。最新一代的MDCT內在Z軸方向的球管內有浮動的焦板,可以讓解析度更好。
另一個不同的研究方向是用在心臟的斷層檢查,稱為電子光束斷層描掃(Electron-Beam Computed Tomography,簡稱EBCT)。它的時間解析度高達50微秒。它可以暫停心臟和肺部的動態來形成高品質的影像。開始時只有Imatron公司製造,後來GE公司跟進,鮮有人做,主要是因為它的成本太高,而用途僅只有一項。同期的MDCT的時間解析度很接近EBCT,但是成本却低得多,因此MDCT就成了市場的趨向。
進化過的電腦技術和組像技術可以執行更快更準確的重組。早期的機器可能需要幾分鐘才可以做出一張影像;現在30秒钟可以做出1000張影像,精心設計的軟體也可以滅少假影。雙射源電腦斷層(Dual source)使用兩個X光管和兩排偵檢器,使得每張影像只需0.1秒就可以完成。這樣就可以得到高品質的心臟影像而不需要使用降低心率的藥,例如beta blockers。
雙射源的複列偵檢器電腦斷層可以在10秒的閉氣時間內就完成整個心臟的檢查。
Volumetric電腦斷層是複列偵檢斷層機的一項延申,仍在研究階段,目前的MDCT每轉一次取樣4cm寬的體積,volumetric電腦斷層的目標是以256的複列偵檢斷層儀的原型為基礎,增加寬度到10-20cm,未來的應用包括了心臟成像(在兩次連續的心跳間就可以取得欲重建完整三維影像所需要的數據)。
微斷層攝影(Microtomography)
近幾年來,斷層攝影也到了微米的等級,名為微斷層攝影,但是這些機器目前只適合小物體或是動物,還不能用在人體。
参考资料
- . NobelPrize.org. [2019-08-10]. (原始内容存档于2020-05-23) (美国英语).
- Daniel G Deschler, Joseph Zenga. . UpToDate. [2020-05-24]. (原始内容存档于2019-07-03). This topic last updated: Dec 04, 2017.
- Bin Saeedan, Mnahi; Aljohani, Ibtisam Musallam; Khushaim, Ayman Omar; Bukhari, Salwa Qasim; Elnaas, Salahudin Tayeb. . Insights into Imaging. 2016, 7 (4): 601–617. ISSN 1869-4101. PMC 4956631. PMID 27271508. doi:10.1007/s13244-016-0506-5. Creative Commons Attribution 4.0 International License 页面存档备份,存于
- . orthoinfo.aaos.org. American Association of Orthopedic Surgeons. [30 May 2010]. (原始内容存档于2010-05-30).
- Buckwalter, Kenneth A.; 等. . American Journal of Roentgenology. 11 September 2000, 176 (4): 979–986. PMID 11264094. doi:10.2214/ajr.176.4.1760979.
- Ramon, André; Bohm-Sigrand, Amélie; Pottecher, Pierre; Richette, Pascal; Maillefert, Jean-Francis; Devilliers, Herve; Ornetti, Paul. . Clinical Rheumatology. 2018-03-01, 37 (3): 587–595. ISSN 0770-3198. PMID 29350330. doi:10.1007/s10067-017-3976-z.
- Cuttler JM, Pollycove M. . Dose Response. 2009, 7 (1): 52–89. PMC 2664640. PMID 19343116. doi:10.2203/dose-response.08-024.Cuttler.
- . Food and Drug Administration. 2009 [2013-09-05]. (原始内容存档于2013-11-05).
- Hall, EJ; Brenner, DJ. . The British journal of radiology. 2008 May, 81 (965): 362–78. PMID 18440940. doi:10.1259/bjr/01948454.
- Furlow, B. (PDF). Radiologic technology. 2010 May–Jun, 81 (5): 437–50. PMID 20445138.
- Shrimpton, P.C; Miller, H.C; Lewis, M.A; Dunn, M. Doses from Computed Tomography (CT) examinations in the UK – 2003 Review 页面存档备份,存于
- Davies, H. E.; Wathen, C. G.; Gleeson, F. V. . BMJ. 25 February 2011, 342 (feb25 1): d947–d947. doi:10.1136/bmj.d947.
- Brenner DJ, Hall EJ. (PDF). N. Engl. J. Med. November 2007, 357 (22): 2277–84 [2013-11-13]. PMID 18046031. doi:10.1056/NEJMra072149. (原始内容存档 (PDF)于2016-03-04).
- Poston, edited by Michael T. Ryan, John W. . Baltimore, Md.: Lippincott Williams & Wilkins. 2005: 164. ISBN 9780781769341.
- Polo SE, Jackson SP. . Genes Dev. March 2011, 25 (5): 409–33. PMC 3049283. PMID 21363960. doi:10.1101/gad.2021311.
- . The Alliance for Radiation Safety in Pediatric Imaging. [19 July 2013]. (原始内容存档于2013-06-09).
- . Knowledge Database. 2018-08-14 [2018-08-14] (美国英语).
外部連結
| 维基共享资源中相关的多媒体资源:X射线计算机断层成像 |
- (英文)tomviz: Open-source tomography visualization and data processing
- (英文)CTisus: Information on body CT (Computed tomography) including a 3D vascular atlas with volume rendering, spiral CT protocols, and teaching files
- (英文)Open-source computed tomography simulator with educational tracing displays 页面存档备份,存于
- (英文)idoimaging.com: Free software for viewing CT and other medical imaging files 页面存档备份,存于
- (英文)CT Artefacts 页面存档备份,存于 by David Platten
- (英文)DigiMorph 页面存档备份,存于 A library of 3D imagery based on CT scans of the internal and external structure of living and extinct plants and animals.

